22歲女性,主訴右下腹間歇疼痛約2天,無合併其他特別症狀。
理學檢查: 右下腹局部明顯壓痛,有輕微反彈痛。
體溫: 37.4℃
白血球: 16,300 (Seg 75%)
KUB如下圖,沒有明顯的異常。
(臨床上如果不是要看異物、腎結石和腸阻塞,KUB對急診醫師診斷急性腹痛的幫助有限)
若要雞蛋裡挑骨頭,注意到右上腹的升結腸處好像有點腫,
讓腸氣變窄,然後又突然有了腸氣,好像個蝌蚪般的外形。
因為明顯壓痛,所以超音波是一定會擺上去的,
不過女性右下腹痛到底要看什麼呢 ??
首先,看有沒有游離液,有就糟了;
最好不要解尿後再照,應該是先照超音波,
要不然最重要的Window就消失了。
再來,看子宮內有沒有懷孕的証據。
接著就根據疼痛的解剖構造來從容易看的找,
看有沒有水腎,
看有沒有膽結石,
這兩個都很容易找,也很容易有成就感。
最後,往難一點的挑戰,看腸子,
原則上將探頭橫放掃描,找右下腹的【地標】:
Iliac bone, posts muscle & iliac vessels。
找到地標後,往頭側transverse sliding,你就有機會可以順著看升結腸。
在地標附近,探頭橫放掃描疼痛處,你就有機會可以找找發炎的闌尾。
這段影片中,這位年輕女性在靠近腎臟下緣的升結腸處,
有一明顯突起的構造,由升結腸的內側突出,
附近的大腸壁有些增厚,而突出的構造好像的圓頂的構造,
因此又被稱為Dome sign。
再仔細看一下,這個結構裡還有個回音度稍高的東西卡在裡頭,
這是糞石Fecalith,
不過這個沒有很強的Acoustic shadow,要看到不是很容易。
除了局部的大腸壁因發炎變厚和Dome sign ,
病灶處的週邊還可看到因發炎刺激造成週邊的構造產生高亮度的變化,
在CT上,我們常常稱呼為Fat stranding。
基於以上的超音波發現,我們就可以有很高的信心來診斷這位年輕的女性腹痛的原因為
升結腸憩室炎。
該患者因此在急診留觀接受治療並等待住院,在隔日因仍然疼痛,
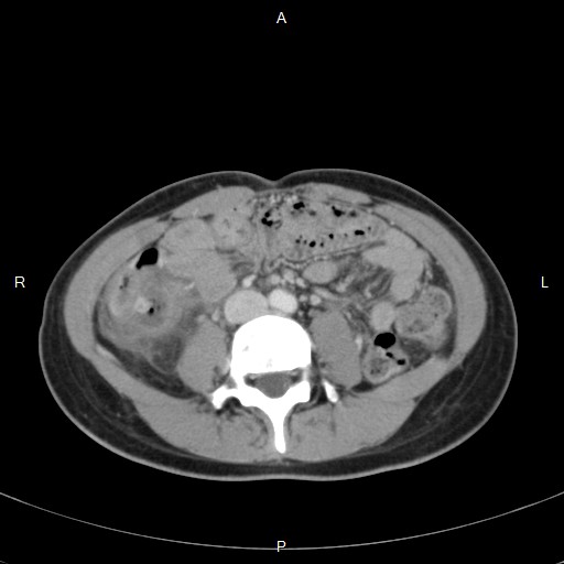
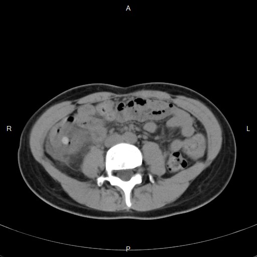
因此該日看診醫師為其安排電腦斷層來評估病灶的嚴重度。
在沒有注射顯影劑的升結腸可見一高亮度的糞石和週邊的發炎變化,
在注射顯影劑的CT下,可以看到卡在憩室的糞石週邊有一些液體和氣體存在。
在隔日的超音波可以看到和第一天不同的地方,
憩室內的糞石仍在,
憩室內低回音的液體增多,
憩室內高回音的空氣出現了,
週邊高回音腸繫膜脂肪範圍對擴大的更加明顯了。
此時由Cefmetazole改為Avelox來治療這個腹腔內的發炎。
住院四天後病症改善出院。
目前為止,憩室炎的診斷仍建議以【電腦斷層】為首選工具,
超音波在診斷憩室炎方面,和操作者的技術和經驗有很大的關連,
東方人身形較西方人嬌小,因此沒有想像中那麼困難,
不過,如果要以超音波為唯一診斷工具,應該要有很好的經驗和技術才可以。
以往大家遇到腸道疾病都認為超音波角色不大,因此直接跳到了CT,
其實腸道有病變時,一定會有某些超音波容易觀察到的地方,
像這個案例中,
結腸壁局部增厚造成的Hypoechoic thickening,
因發炎而明顯的憩室造成的Dome sign,
週邊脂肪發炎的高亮度影像Hyperechoic pericolic fat,
偶爾可見的糞石Fecalith,這不一定會有acoustic shadow,就像本例,
有時會合併化膿和局部的空氣,就像第二段的影像中的發現一般。
看到了其中的一部份,你就會知道問題的方向在腸道,
再依據所得的病史和理學檢查,其實反而可以更快的讓你釐清患者腹痛的原因為何。


1 Comment