雙和急診超音波教學-Aorta/Pancreas/Spleen
Abdominal aorta: transverse tracing Abdominal aorta &am...
Abdominal aorta: transverse tracing Abdominal aorta &am...
在Aco Healthcare的協助下,首次和Docquity平台合作,分享POCUS的粗淺經驗和心得,第一次...
受密碼保護的文章不會產生內容摘要。
受密碼保護的文章不會產生內容摘要。
受密碼保護的文章不會產生內容摘要。
2022 WINFOCUS Virtual World Congress
今天的教學最重要的是認識Obstruction Basic & Essential views for...
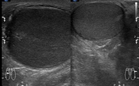
根據這段影像組合,看出那些超音波發現 ?最可能超音波診斷為何 ? 這是2015年的個案,右側睪丸腫痛。我們先看...
78歲男性,有肝硬化病史,因呼吸喘、胸痛、血壓低、血氧測不出,由119救護車送至急診。檢傷處的生命徵象: PR...
Right portal vein Left portal vein IVC to hepatic vein ...
小便量變少,肚子漲,腎功能變差,以上都是急診、病房、加護病房,甚至是居家都很常見的問題。 73歲中風後長期臥床...