年輕男性,機車車禍,除四肢多處擦傷,還主訴右側胸痛
生命徵象穩定,無呼吸困難,但有明顯壓痛。
外傷超音波最重要的應用在EFAST: 游離液體和游離空氣,
在標準的介面確定沒有游離液體和游空氣後,
在高度懷疑為肋骨骨折下,
將探頭由EFAST通用的腹部探頭,更換為線形探頭,
目標是看有無肋骨骨折。
在醫院內,X光的檢查快速又容易取得,
因此Echo的診斷價值應該是用來做為輔助的角色,
也就是X光沒有明顯骨折,但是患者又有非常顯著的疼痛時,
利用高解析度的線形探頭,可做為急診醫師有用的幫手,
甚至也可以用來避免惱人的糾紛。
在院外、偏遠地區和巡迴醫療時,
我想超音波的診斷價值就大幅的提升了。
掃描的重點在理學檢查的壓痛處,
要不然每一根肋骨都一寸一寸的掃描實在是太沒有效率了,
要診斷肋骨骨折最好是探頭和肋骨平行的掃描,
診斷依據為骨頭表面高回音的線是否有中斷。
這位患者的骨折有好幾處,也有同一根斷了二處,
不過大多沒有明顯移位,
這一根幾乎沒有位移,
鄰近的這一根也斷了,稍微明顯些,
這一根的骨折處就明顯多了,
將上述的三根骨折依序看下來,一根比一根明顯,
靠近肋骨和軟骨交界處也有明顯的壓痛,
這個骨折就非常不容易發現了,
底下的肋膜滑動的很平順,也沒有肺挫傷所呈現出的Subpleural consolidation.
這根也是斷在近交界處,
至少二根斷在二個位置,可以稱之為連枷胸 (flail chest) 嗎 ??
雖然斷在二個位置,但由於都只是斷,並沒有分離,所以不能算是連枷胸。
藉由Linear probe的高解析度,也可檢視骨折處下方的肋膜是否有Lung contusion,
這個患者沒有肋挫傷的証據。
將探頭放在典型的位置,可以協助定位肋骨和肋膜的相對位置,
但是在這裡要看到骨頭斷裂就很不容易了,
在這裡只能隱約看到肋骨表現好像有地方不是很平順,
並無法像平行掃描般的肯定。
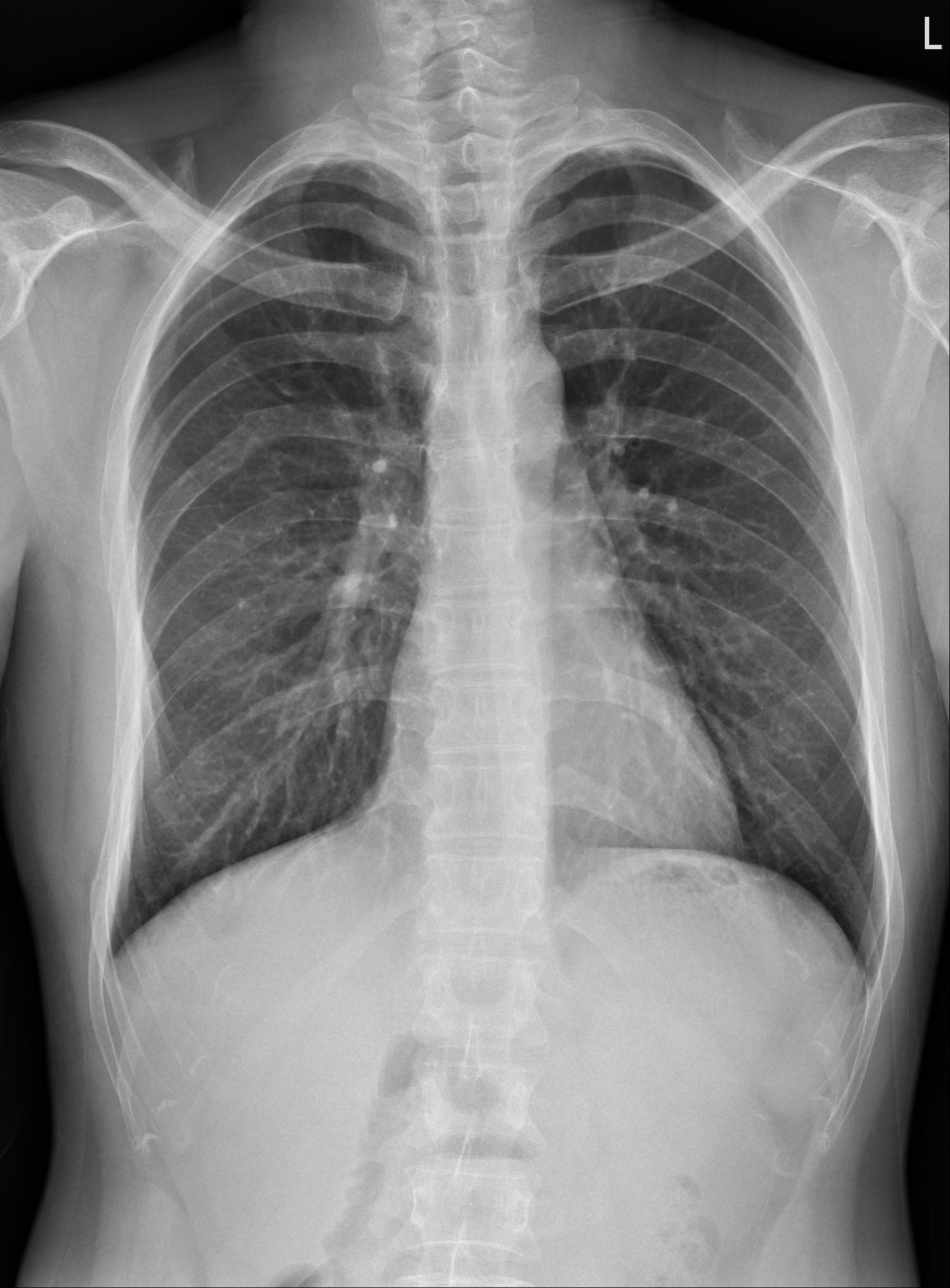
CXR可見右側胸部多處肋骨骨折。
Take Home Message 外傷超音波(EFAST)為外傷評估的【初級評估】 肋骨骨折屬於【次級評估】,在沒有生命危險和緊急狀態下, 根據患者疼痛處和理學檢查異常處進行掃描, 選用高頻的Linear probe,可輕易的觀察是否有肋骨骨折, 對於受傷處的肋膜也可檢視是否有肺挫傷造成的Subpleural consolidation和 B lines.

