47M, left flank pain
POCUS: Left UVJ stone / Left hydronephrosis
這位患者左腰痛,
POCUS的重點在於bilateral kidney & UB,如果有需要記得加上AAA的掃描,
這裡看UVJ會吃力些是因為患者已有排尿,沒有足夠的urine來當好的視窗。
Start from RK: no hydronephrosis
Shift to LK: mild hydronephrosis
Next to UB transverse scan: Left UVJ stone
KUB可見left UVJ stone

46F, left flank pain
POCUS: Left UVJ stone / Left hydronephrosis
RK: no hydronephrosis
LK: mild to moderate hydronephrosis
UB transverse veiw: left UVJ stone
UB sagital scan: left UVJ stone
Power doppler: left urinary jet (indicated incomplete obstruction of UVJ stone)
KUB: left UVJ stone

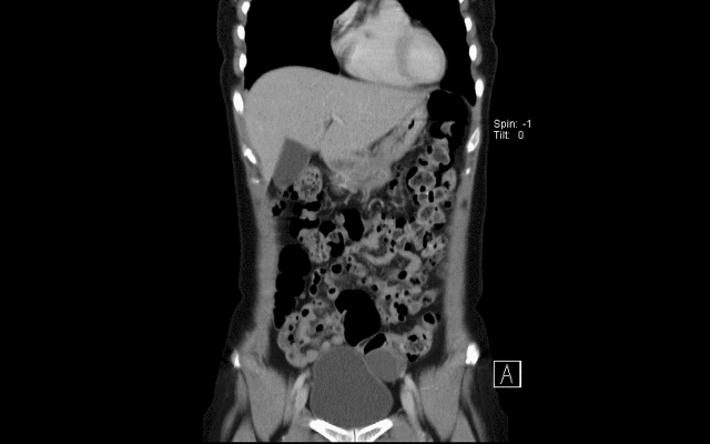
43F, right flank pain
POCUS: right moderate hydronephrosis & peri-renal fluid
trace dilated ureter to UVJ
No hydronephrosis on left side
Splenic tumor noted over lower pole of spleen
KUB: no obvious stone

CT: right hydronephrosis, splenic lesion, R UVJ stone


延伸閱讀